zurück Home Apoplex: Diagnostik
allgemeines  
Symptome Ein Schluckauf kann Symptom eines "stummen" Apoplex sein.
NIHSS-Score National Institutes of Health Stroke Scale (NIHSS) 0 bis 42, 0-5: leichter Apoplex
Rankin Scale Modified Rankin Scale (MRS)
Bewertung Beschreibung
0 Keine Symptome
1 Keine besonderen Beeinträchtigungen; kann alle gewohnten Handlungen und Tätigkeiten durchführen
2 Leichte Beeinträchtigung; kann nicht mehr alle Tätigkeiten durchführen, ist in den basalen ADL selbständig
3 Mässige Beeinträchtigung; benötigt etwas Hilfe, kann aber alleine Gehen
4 Mässige bis schwere Beeinträchtigung; kann ohne Hilfe nicht Gehen; benötigt Hilfe für die basalen ADL.
5 Schwere Beeinträchtigung; Bettlägerigkeit, Inkontinenz, benötigt stetige Betreuung und Aufmerksamkeit.
6 Tod
Dünnschicht-CT Ausschluss Blutung, Bestimmung der Thrombuslänge
ASPECTS Alberta Stroke Program Early CT Score (1,2) CT-Bewertungsscore bei akutem, ischämischem Apoplex der ACM Beurteilung von 10 Regionen:
M1–M6: Hirnrinde,
C: Nucleus caudatus
L: Nucleus lentiformis, Putamen
IC: Capsula interna
I: Inselregion
Keine Veränderung im CT: 10 Punkte
für jede veränderte Region ein Punktabzug
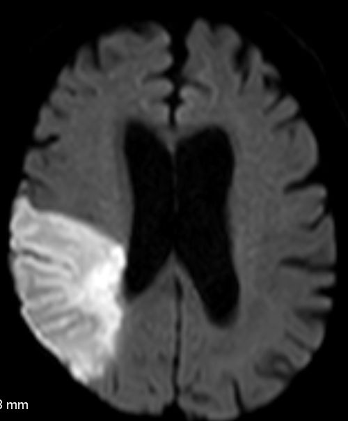
MRT spezielle Sequenzen für den Apoplex: DWI,PWT 76-jähriger Mann mit frischem Apoplex. Ausfall des hinteren Mediabereiches rechts. MR DWI og tra Sense
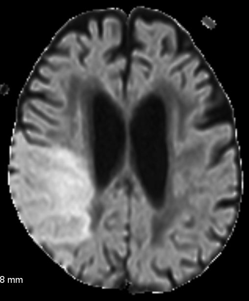
MR DWI EADC
DWI Diffusion weighted imaging
PWI Perfusion weighted imaging
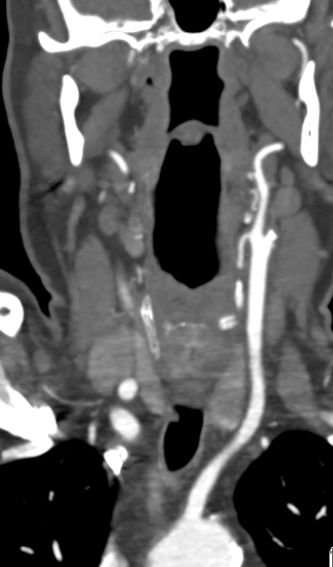
ACI-Verschluß 63-jährige Frau, die wegen TIA eingeliefert wurde. Daraus entwickelte sich eine komplette Halbseitensymptomatik. Das CT zeigt einen Abgangsverschluss der linke ACI.
CT-Angio
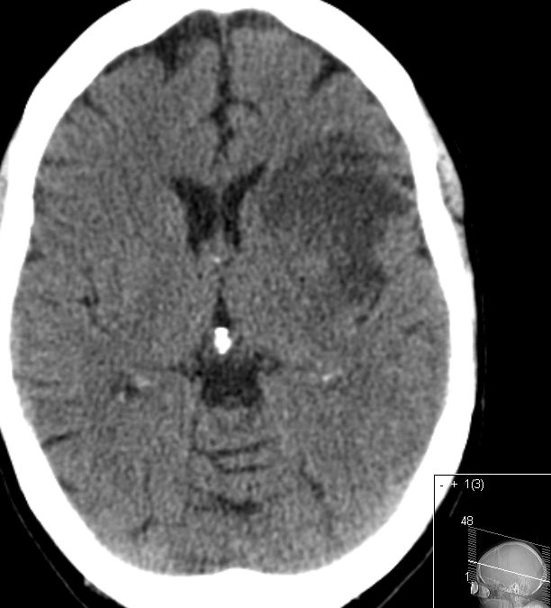
Gut markierter Media-Infarkt

Teil von

Apoplex Gefäßerkrankungen des ZNS Neurologie Neurologie, Psychiatrie
Quellen 1.) Pexman JH, Barber PA, Hill MD, et al.:
Use of the Alberta Stroke Program Early CT Score (ASPECTS) for assessing CT scans in patients with acute stroke.
Am J Neuroradiol 2001;22(8):1534-1542

2.) Schröder J, Thomalla G. A:
Critical Review of Alberta Stroke Program Early CT Score for Evaluation of Acute Stroke Imaging.
Front Neurol 2017;7:245
doi:10.3389/fneur.2016.00245

3.)

Impressum                         Zuletzt geändert am 16.07.2023 7:47