| zurück Home | intrahepatisches Gallenwegs - Karzinom, IHCC | ||
| Allgemeines | 
 | ||
| Epidemiologie | |||
| Prognose | Das mediane Überleben inoperabler Patienten beträgt 7 - 12 Monate. | ||
| Klinik | |||
| Metastasierung | |||
| TNM - Stadien | |||
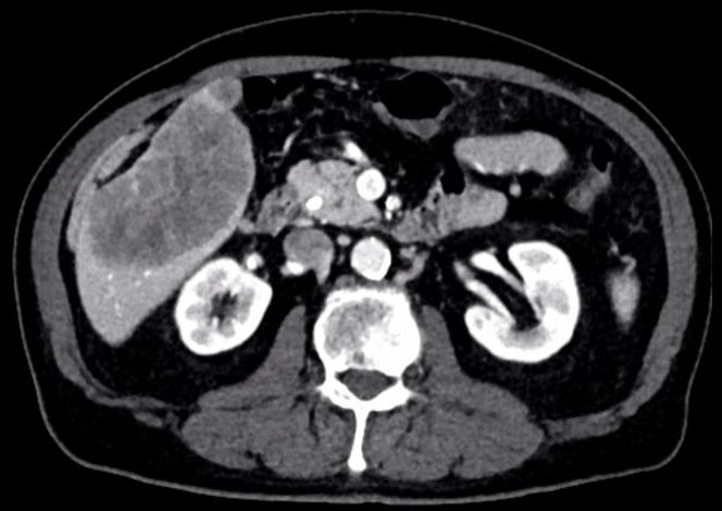
| Diagnostik | 70-jähriger Mann mit unklaren Oberbauchbeschwerden rechts. Klinisch vergrößerte Leber tastbar. Metastasen in BWK 8, Lunge und abdominalen sowie mediastinalen Lymphknoten. Leberbiopsie: Invasives Adenokarzinom, intrahepatisches Cholangiokarzinom. Das CT zeigt eine über 10 cm große Raumforderung im rechten Leberlappen.  | ||
| Diagnostik | 67-jähriger Patient, der vor 3 Jahren ein Rektum-Ca im Stadium cT3 cN1 cM0 hatte. Vor 2 Jahre unklarer Leberherd, der jetzt an Größe zugenommen hat. Nach Resektion der Lebersegmente V und VI ergab sich ein cholangiozelluläres Karzinom pT1 G1. 05/16 CT ohne KM : V.a. HEP  | Histologie:  knotige und solide Tumorinfiltrate aus rundlichen und länglichen, z. T. verzweigten Tumordrüsen mit mäßiger Zell- und Kernpolymorphie. Einreihige Epithelschichtung. Vergrößerte, z. T. übereinander gelagerte Zellkerne mit prominenten Nukleolen. Vermehrt Mitosen. Exprimieren Zytokeratin 7 und kleinherdig Zytokeratin 20. CEA und CDX 2 sind negativ. Gut differenziertes tubuläres Adenokarzinom.  | |
| Morphologie | |||
| Therapie | |||
| Operation | Die chirurgische Resektion ist die einzige potentiell kurative Therapie. Ca. 30% sind operabel. | ||
| Externe Radiatio | |||
| Chemotherapie | Gemcitabin - Cisplatin | ||
| Target | FGFR2-Rearranged | Futibatinib | FOENIX-CCA2 Study(1) | 
| transarteriale Chemoembolisation | |||
| Thermo-Ablation | |||
| intra-arteriale Y90- Microspheren | |||
| Ergebnisse | |||
| Teil von | Gallenwegs - Karzinom | Gastro - Intestinale Tumore | |
| Quellen | 1.)Goyal l, et al. for the FOENIX-CCA2 Study Investigators: Futibatinib for FGFR2-Rearranged Intrahepatic Cholangiocarcinoma. N Engl J Med 2023;388:228-39. DOI: 10.1056/NEJMoa2206834 | ||
Impressum Zuletzt geändert am 07.02.2023 17:25